Uvéites en 100 questions

Les 100 questions

2. 2. Mieux comprende comment se manifeste les uvéites
    Comment faire le diagnostic d’une uvéite ?

30. Quels sont les différents examens réalisés par l’ophtalmologiste pour établir un diagnostic d’uvéite ?

Dernière mise à jour : 14-01-2023

Lors de la consultation, l’ophtalmologue commence par la mesure de l’acuité visuelle en vision de loin et de près, avec ou sans verres correcteurs. L’acuité visuelle de loin s’exprime par un test de lecture (lettres de taille décroissante) chez un adulte, en chiffre/10 pour chaque œil. L’acuité visuelle de près est exprimée chez l’adulte selon l’échelle de Parinaud allant de 1.5-2 (normale) à 14 (très altérée) ; les tests de lecture de près et de loin sont différents chez les jeunes enfants.

Ensuite vient l'examen à la lampe à fente. Le menton du patient est installé sur la mentonnière d’un microscope equipé d’une lampe appelée lampe à fente, qui permet d’analyser tous les détails de la partie antérieure de l’œil.

Une fois que la pupille est dilatée, on réalise l’examen du « fond d’œil » qui permet l’analyse du segment intermédiaire (corps hyalin ou vitré) et du pôle postérieur de l’œil, la rétine avec les vaisseaux, le centre de la rétine appelé macula et la tête du nerf optique qu’on nomme papille.

À ce stade, l’ophtalmologue a fait ou écarté le diagnostic d’uvéite antérieure, intermédiaire, postérieure ou totale (panuvéite).

La recherche d’une hypertonie oculaire est systématique car elle peut com pliquer une uvéite. La pression intra-oculaire est mesurée par projection d’un jet d’air sur l’œil ou par contact à l’aide d’un cône en mettant au préalable une goutte d’anesthésiant.

L’ophtalmologue se sert ensuite de différents examens complémentaires afin d’identifier et d’analyser plus finement les lésions :

  • L’OCT (tomographie par cohérence optique) est le scanner de l’œil. Grâce à des clichés superposés, on arrive à analyser toutes les couches qui composent la rétine et le paquet de fibres optiques qui forment la tête du nerf optique.
  • La rétinographie est une photo couleur de la rétine.
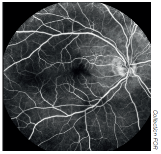
  • L’angiographie consiste à injecter un produit de contraste par la veine de l’avant-bras et de prendre des clichés des yeux pour analyser les différentes structures vasculaires de la rétine et de la choroïde.
  • Le champ visuel est un examen qui permet de relever les taches sombres dans le champ de vision du patient. Il se fait œil par œil. Cela permet de juger du bon fonctionnement de la papille et de la rétine.
  • Le Laser Cell Flare Meter ou tyndallomètre laser est une machine capable de quantifier les cellules inflammatoires présentes dans la chambre antérieure de l’œil ; cet appareil très utile dans le suivi des uvéites n’est pas encore suffisamment diffusé en France.

L’ophtalmologue est parfois amené à faire des prélèvements oculaires comme la ponction de chambre antérieure afin d’établir un diagnostic biologique précis, souvent infectieux, à la recherche d’anticorps ou d’agent infectieux. Le geste est rapide et indolore. Il s’agit de faire passer une aiguille fine sur le bord latéral de la cornée et de prélever un peu de liquide à la partie antérieure de l’œil. Chez l’enfant, on fait ce geste sous anesthésie générale. Le patient repart avec un pansement qu’il retirera au bout de quelques heures.

lampe a fente
Tonomètre pour prendre la pression ou tonus oculaire
Fond d'œil
OCT
Rétinographie
Angiographie
Champs visuel (œil gauche)
Laser Cell Flare Meter

À retenir

Le diagnostic de l’uvéite commence par un examen ophtalmologique complet. Les examens complémentaires permettent de mieux analyser les lésions inflammatoires. Le prélèvement oculaire (ponction de chambre antérieure) sert à rechercher une cause infectieuse locale.

Précédent Haut de page Suivant