Uvéites en 100 questions

Les 100 questions

2. 3. Mieux comprende comment se manifeste les uvéites
    Comment évolue une uvéite ?

35. Quelles sont les complications propres à chacune des formes et des causes d'uvéites ?

Dernière mise à jour : 14-01-2023

Les uvéites antérieures chroniques peuvent se compliquer de :

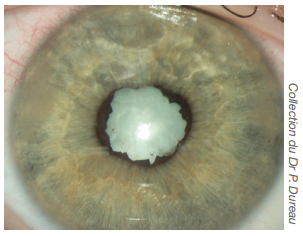
  • Lésions de la cornée par dépôt de résidus calciques dans la cornée, appelées kératites en bandelettes.
  • Accolements entre l’iris et le cristallin appelés synéchies, qui lorsqu’elles sont présentes sur 360°, augmentent le risque d'hypertonie oculaire et de glaucome.
  • Cataracte, qui peut être favorisée par l'inflammation chronique mais aussi par la corticothérapie locale surtout, ou générale (orale ou intraveineuse).
  • Œdème maculaire, responsable d’une baisse de vision.
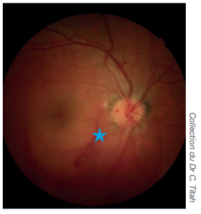
  • Œdème papillaire, signe d’activité de l’uvéite.
  • Hypertonie oculaire pouvant aller jusqu’au glaucome avec amputation progressive du champ visuel par atrophie du nerf optique.

Les uvéites intermédiaires peuvent se compliquer de :

  • Membrane épirétinienne
  • Hémorragies dans le vitré
  • Cicatrices intravitréennes et déchirure de la rétine
  • Autres : il peut persister des corps flottants ou « mouches volantes » dans le champ visuel. Plus rarement, on verra une hypertonie oculaire, un œdème papillaire, voire une amblyopie ou une cécité.

Les uvéites postérieures peuvent se compliquer d'œdème et de lésions maculaires, d'œdème papillaire, d'hémorragies ou d'occlusions vasculaires en particulier en cas d'inflammation active des vaisseaux (vascularite), de décollement de la rétine ou du vitré.

  • Néovaisseaux choroïdiens maculaires
  • Vascularites rétiniennes

Certaines complications sont réversibles, d’autres pas, altérant plus ou moins profondément l’acuité visuelle.

Kératite en bandelettes
Synéchies irido-cristalliniennes
Œdème maculaire
Œdème maculaire
Œdème papillaire
Membrane épirétinienne
Hémorragie du vitré
Décollement de rétine
Image en OCT - angiographie
Engainement blanchâtre des vaisseaux

À retenir

Les complications dépendent du type d'uvéite (infectieuse ou non, antérieure, intermédiaire, postérieure ou panuvéite), de leur activité et de leur chronicité. Elles peuvent mettre en jeu la capacité visuelle.

Précédent Haut de page Suivant